Google Review See Google Review Practo Review See Practo Review  Book Appointment on WhatsApp WhatsApp US
Opening Hours

MON - FRI: 4:00 PM to 8:30 PM

SUN: 10:00 AM to 2 PM

+ About Impressions Dental, Lucknow

Your Trusted Dental Clinic in Ashiyana, Lucknow

Welcome to Impressions Dental Centre, the award-winning dental clinic in Ashiyana, Lucknow, led by Dr. Maninder Saluja. With over 13 years of experience, Dr. Maninder Saluja and our expert team are committed to providing personalized care and the highest standard of treatment. From routine check-ups to advanced procedures like implants and cosmetic treatments, we ensure every visit is comfortable, efficient, and customised to your needs.

At Impressions Dental Centre, we use the latest dental technologies, including digital X-rays, laser treatments, and 3D imaging, to deliver precise and painless care. Our focus is on providing long-term dental solutions that improve both your oral health and overall well-being. Whether you need a simple cleaning or a complex restoration, we strive to make every experience seamless, stress-free, and exceptional.

Award-Winning Care and Excellence

Awarded "Best Dental Clinic in Lucknow"
Recognized for Excellence in Patient Care and Comfort
Advanced Technology for Accurate, Painless Treatment
Committed to Providing Excellent Patient Care and Comfort
+ Our Treatments

High Quality Advanced Dental Care For You.

At Impressions Dental Centre, we use the latest technology and techniques to deliver the best outcomes for our patients.

View All Treatments
Painless Single Visit Root Canal Treatment
Painless Single Visit Root Canal Treatment

At Impressions Dental Centre, we understand that a root canal treatment can often bring about feelings of anxiety and uncertainty. Traditional root canal treatments typically…

Know More
Transform Your Smile with Cosmetic Dental Veneers
Transform Your Smile with Cosmetic Dental Veneers

At Impressions Dental Centre, we understand that a beautiful smile is a powerful asset. If you're looking to improve the appearance of your teeth, cosmetic…

Know More
Orthodontic Treatment at Impressions Dental Centre
Orthodontic Treatment at Impressions Dental Centre

Having healthy teeth not only plays an important role in confidence, it also affects your digestion, and overall well-being. If you are dealing with a…

Know More
Pediatric Dentistry at Impressions Dental Centre – Your Trusted Kids Dentist in Lucknow
Pediatric Dentistry at Impressions Dental Centre – Your Trusted Kids Dentist in Lucknow

At Impressions Dental Centre, we understand how important it is to maintain your child’s oral health from an early age. Our pediatric dentist in Lucknow,…

Know More
Restore Your Smile with Crowns and Bridges at Impressions Dental Centre
Restore Your Smile with Crowns and Bridges at Impressions Dental Centre

At Impressions Dental Centre, we believe that everyone deserves a healthy, beautiful smile. Whether you're dealing with damaged, decayed, or missing teeth, our crowns and…

Know More
Dental Implants at Impression Dental Clinic- A Safe Solution For You and Your Loved Ones
Dental Implants at Impression Dental Clinic- A Safe Solution For You and Your Loved Ones

Having healthy teeth not only plays an important role in confidence, it also affects your digestion, and overall well-being. If you are dealing with a…

Know More
+ Visit Clinic

Experience Modern, Painless Dentistry

State-of-the-art technology, single-visit treatments, and compassionate care - all under one roof.

Take a Tour

0

Years of Experience

Over a decade of delivering trusted dental care in Lucknow, India.

0

Happy Smiles

Thousands of satisfied patients with healthier, brighter smiles.

0

Patient Reviews

Our reputation is built on hundreds of verified patient testimonials.

0

Qualified Staff

A skilled team of certified professionals dedicated to your care.

0

International Publications

Our doctors contribute to leading global dental journals.

+ Why Choose Us

Experience Dental Care Like Never Before

At our clinic in Lucknow, we offer advanced dental treatments using the latest technology, ensuring fast, painless, and effective solutions customized to your needs.

Trusted, Award-Winning
Dentist in Lucknow

Benefit from the expertise of a nationally recognized dentist, dedicated to providing the highest standard of care in Lucknow.

Cutting-Edge Technology
for Your Smile

Our state-of-the-art dental lab uses digital innovations to create precise, long-lasting restorations that enhance your smile with exceptional results.

Transform Your Smile
in Just One Day

With our same-day dentistry services, including crowns and veneers, you can leave our Lucknow clinic with a brand-new smile—all completed in one visit.

Over 10,000 Smiles Transformed

Join the thousands of happy patients in Lucknow who have trusted us with their dental care and have experienced life-changing results.

Advanced Implant Solutions

With the latest robotic technology, our dental implants provide unmatched accuracy, faster recovery, and long-lasting results for a perfect smile.

Pain-Free, Comfortable Dentistry

We prioritize your comfort by offering advanced, painless treatments, ensuring a stress-free dental experience every time you visit our Lucknow clinic.

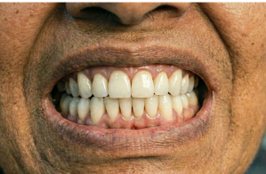
Before Before
After After
Before Before
After After
Before Before
After After
Before Before
After After
Before Before
After After
Before Before
After After
+ Testimonial

What Our Clients Say

Hear from our patients about their care experience and healthy smiles.

Dental Care
+ How It Works

What We Do for Your Teeth

At Impressions Dental Centre, we blend advanced dental technology with patient-first care. From diagnosis to smile design - every step is precise, painless, and personalized.

Schedule a consultation easily through call or message. We offer flexible slots, even for urgent dental needs.

With in-house CBCT, microscope, and 3Shape scanner, we deliver precise digital diagnosis for personalized treatment plans.

From single-sitting root canals to full mouth rehabilitation - our team offers painless, esthetic, and lasting solutions with cutting-edge tech.

Whether you need a quick root canal or a full smile makeover, our friendly team provides effective, pain-free treatments that last.